En el estado de Nuevo León, se registró un caso algo insólito, después que naciera un bebé con cola de 6 centímetros, así fue revelado por una publicación científica Journal of Pediatric Surgery Case Reports, donde se analizó el caso.
Los científicos indicaron que el nacimiento del bebé se registró con normalidad, a través de una cesárea en un hospital rural de Nuevo León y además indicaron, que tanto el bebé como la mamá se encuentran sanos.
Además en el estudio revelaron que la mamá en ningún momento registró complicaciones durante el embarazo, ni estuvo expuesta a algún tipo de radiación o teratógenos que causarán algún defecto congénito.
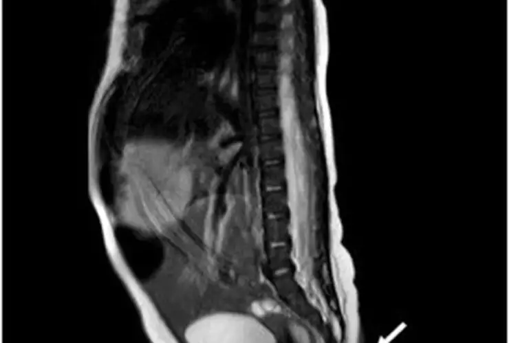
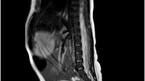
A pesar de ser un embarazo sano, cuando el nacimiento, doctores dieron a conocer que el bebé nació con cola de aproximadamente 6 centímetros.
¿Por qué nació bebé con cola?
De acuerdo a los médicos, la cola del bebé tiene conexión con los nervios del cuerpo, esto lo confirmaron después de que procedieron a pellizcarla con una aguja, lo que provocará el llanto del bebé.
La cola tiene una medida de 5.7 cm de longitud y de entre 3 y 5 milímetros (mm) de diámetro, además de que se encuentra ubicada en la hendidura interglútea.

Finalmente señalaron que la cola de la bebé está cubierta de piel y tiene un poco de pelo fino, poco visible, pero esta no tenía movimiento alguno.
Los médicos lograron retirar su cola a la bebé cuando tenía dos meses y siguieron estudiando su extremidad. Al cabo de dos meses, la cola fue revaluada, encontrando que su extremidad adicional había crecido 0.8 centímetros, por lo que fue extirpada y la zona afectada reconstruida.
Según los últimos reportes, la bebé ya fue dada de alta y no se registraron complicaciones en el seguimiento.
¡Héroe! Policía salva a niño de 9 años dándole RCP
Hay dos tipos de colas humanas
De acuerdo con especialistas, existen dos tipos de cola humana y la describen de las dos manera:
- Las primeras son las pseudocolas, que son crecimientos que se parecen a una, pero en realidad se originan en la columna vertebral o tumores.
- Las colas verdaderas contienen músculos, vasos sanguíneos y nervios.
En el caso de la bebé, nació con la última, donde estaba ligado los nervios y vasos sanguíneos.
PODRÍA INTERESARTE:
Nace bebé embarazada en la India, tenía 8 embriones
